Pulmonary Lymphangitic Carcinomatosis of Small Cell Lung Carcinoma: An Autopsy Case Report
Main Article Content
Abstract
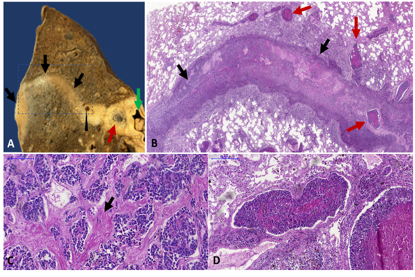
Pulmonary lymphangitic carcinomatosis is characterized by the involvement of pulmonary lymphatic vessels by tumor cells. This work reports the autopsy findings of a 53-year-old woman who presented with subacute constitucional symptoms and presence of numerous nodules throughout the body. Chest CT revealed heterogeneous posterior mediastinal mass involving thoracic structures and pulmonary findings suggestive of lymphangitic spread. Before further diagnostic evaluation could be performed, the patient suffered from rapid clinical deterioration, which resulted in her death. Autopsy revealed a posterior mediastinal mass with marked pulmonary lymphatic involvement by neoplastic cells. Immunohistochemical analysis demonstrated positivity for CAM5.6, CD56 and Ki67, consistent with a high-grade neuroendocrine tumor. Metastatic involvement was also observed in the heart, adrenal, pancreas, duodenum and bone marrow. The final autopsy diagnosis was pulmonary thromboembolism as the immediate cause of death, in the context of a highly aggressive small lung cell carcinoma with pulmonary lymphangitic spread.
Article Details

This work is licensed under a Creative Commons Attribution 4.0 International License.
Authors retain the copyright of their articles and grant the journal the right of first publication under the Creative Commons Attribution (CC BY) license, which allows others to share and adapt the work with proper attribution.
References
AK AK, Mantri SN. Lymphangitic carcinomatosis. 2023 Jul 4. In: StatPearls [Internet]. Treasure Island (FL): StatPearls Pu-blishing; 2023 Jan–. PMID: 32809756.
Bruce DM, Heys SD, Eremin O. Lymphangitis carcinomatosa: a literature review. J R Coll Surg Edinb. 1996 Feb;41(1):7-13. PMID: 8930034.
Martynychen MG, Rabelo LM, Silva RLF, Escuissato DL. Pulmonary lymphangitic carcinomatosis as the initial manifesta-tion of ovarian adenocarcinoma. J Bras Pneumol. 2007;33(5):609-611.
Minor GR. A clinical and radiologic study of metastatic pulmonary neoplasms. J Cardiovasc Surg. 1950;3:74-85.
Fujiwara K, Kiura K, Ueoka H, Tabata M, Hamasaki S, Tanimoto M. Dramatic effect of ZD1839 (‘Iressa’) in a patient with advanced non-small-cell lung cancer and poor performance status. Lung Cancer. 2003;40:73-76.
Kaltsas GA, Besser GM, Grossman AB. The diagnosis and medical management of advanced neuroendocrine tumors. En-docr Rev. 2004;25(3):458. doi:10.1210/er.2003-0014. PMID: 15180952.
Rassy E, Pavlidis N. The currently declining incidence of cancer of unknown primary. Cancer Epidemiol. 2019;61:139. doi:10.1016/j.canep.2019.06.009. PMID: 31254795.
Li F, Wang Y, Zhao Q, et al. Ki-67 expression and patient survival in lung cancer: systematic review and meta-analysis. J Thorac Oncol. 2008;3(9):1052-1059. PMID: 18693325.
Smith KJ, Brown J, Lee C, et al. Ki-67 is a strong prognostic marker of non-small cell lung cancer when tissue heterogeneity is considered. BMC Cancer. 2014;14:123. PMID: 24593013.
Sayeda S, Naqvi A, Begum H, Juergens RA, Finley C, Coschi CH, Cutz JC, Bonert M. Prevalence of thyroid transcription fac-tor-1 (TTF-1)-negative small cell carcinoma and Napsin A positivity in small cell carcinoma in a cross-sectional study of lung core biopsies. Cureus. 2023 Apr 1;15(4):e37015. doi:10.7759/cureus.37015. PMID: 37139017; PMCID: PMC10151064.
Cimino-Mathews A, Subhawong AP, Illei PB, Sharma R, Halushka MK, Vang R, Fetting JH, Park BH, Argani P. GATA3 ex-pression in breast carcinoma: utility in triple-negative, sarcomatoid, and metastatic carcinomas. Hum Pathol. 2013 Jul;44(7):1341-1349. doi:10.1016/j.humpath.2012.11.003. Epub 2013 Jan 31. PMID: 23375642; PMCID: PMC3991123.
Yoo D, Min KW, Pyo JS, Kim NY. Diagnostic and prognostic roles of GATA3 immunohistochemistry in urothelial carcino-ma. Medicina (Kaunas). 2023 Aug 11;59(8):1452. doi:10.3390/medicina59081452. PMID: 37629741; PMCID: PMC10456966.
Rana C, Babu S, Agarwal H, Singhai A, Kumar M, Singh V, Sinha RJ, Shankhwar SN. Diagnostic relevance of GATA3 ex-pression in urinary bladder carcinoma of divergent differentiation and other histological variants. Indian J Surg Oncol. 2021 Dec;12(4):678-685. doi:10.1007/s13193-021-01394-6. Epub 2021 Aug 18. PMID: 35110887; PMCID: PMC8764006.
Raso MG, Bota-Rabassedas N, Wistuba II. Pathology and classification of SCLC. Cancers (Basel). 2021 Feb 16;13(4):820. doi:10.3390/cancers13040820. PMID: 33669241; PMCID: PMC7919820.
Rudin CM, Brambilla E, Faivre-Finn C, Sage J. Small-cell lung cancer. Nat Rev Dis Primers. 2021 Jan 14;7(1):3. doi:10.1038/s41572-020-00235-0. PMID: 33446664; PMCID: PMC8177722.
Vaideeswar P, Fernandes G, Datar S, Zare P. Pulmonary lymphangitic carcinomatosis: an experience at autopsy. Indian J Pathol Microbiol. 2025 Jan 1;68(1):125-129. doi:10.4103/ijpm.ijpm_1004_22. PMID: 38975714.
Soares FA, Pinto AP, Landell GA, de Oliveira JA. Pulmonary tumor embolism to arterial vessels and carcinomatous lymp-hangitis: a comparative clinicopathological study. Arch Pathol Lab Med. 1993;117(8):827. PMID: 8343048.
Jreige M, Dunet V, Letovanec I, Prior JO, Meuli RA, Beigelman-Aubry C, Schaefer N. Pulmonary lymphangitic carcinomato-sis: diagnostic performance of high-resolution CT and 18F-FDG PET/CT in correlation with clinical pathologic outcome. J Nucl Med. 2020 Jan;61(1):26-32. doi:10.2967/jnumed.119.229575. Epub 2019 Jun 21. PMID: 31227574.
Sun C, Liang Z, Yan Z, et al. Successful rapid improvement of acute respiratory distress syndrome induced by EGFR-mutated non-small cell lung cancer with almonertinib: a case report. BMC Pulm Med. 2024;24:471. doi:10.1186/s12890-024-03292-3.
Klimek M. Pulmonary lymphangitis carcinomatosis: systematic review and meta-analysis of case reports, 1970-2018. Post-grad Med. 2019 Jun;131(5):309-318. doi:10.1080/00325481.2019.1595982. Epub 2019 Apr 5. PMID: 30900501.